Articles

October 17, 2016

October 14, 2016
Researchers Zero In on Why Babies Imitate

October 11, 2016
University-owned House Brings Together Budding Entrepreneurs

October 07, 2016

October 05, 2016
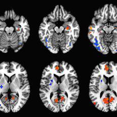
Research at New Cole to Focus on Traumatic Brain Injury

October 03, 2016
Terp’s New Book Lampoons Business Culture

September 30, 2016
UMD Researchers Guard Earth’s Environment

September 26, 2016
New book explores sources of Congress’ gridlock

September 23, 2016
Portable Device to Cool, Heat One Person at a Time

September 20, 2016
Terp-powered service tracks those sneaky subscription charges

September 16, 2016
The “Jon Stewart of Egypt” Comes to the Clarice

September 14, 2016

September 13, 2016
Terps Run Expanding Program for Adults with Down Syndrome

September 09, 2016
A Serving of Trivia on UMD’s History in Food and Drink

September 06, 2016
UMD Researchers Aim to Prevent Radiological Terror Attacks With Lasers

August 30, 2016
Terp Turns Bestselling Author With Series on “Unlikely Friendships”